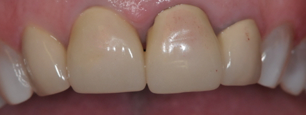
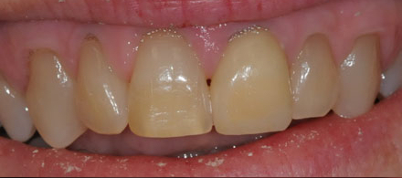
Before & After














Want a smile makeover?
At Beller Dental Clinic we specialize in crowns, veneers, teeth whitening and bridges. Look through some of our example Before & After pictures to see some of the new smiles we have created.
If you would like to speak to us about our cosmetic dentistry services just go to our Contact Us page and send us a note.